基于细胞的疗法,尤其是利用干细胞的疗法,正在改变神经系统疾病治疗的格局。这些疗法为患有衰弱性神经系统疾病的患者带来了希望,弥补了传统疗法与神经损伤修复或缓解之间的差距。尽管许多基于干细胞的疗法仍处于人体临床试验的初期阶段,但临床前研究表明,神经系统疾病的治疗方法正在发生范式转变。
神经修复新纪元:干细胞的多靶点机制与六大神经系统疾病的临床转化进展
近期,期刊杂志“Journal of Alzheimer’s Disease”发表了一篇“Stem Cell Interventions in Neurology: From Bench to Bedside”(干细胞干预治疗神经病学疾病:从实验室到临床)的研究综述。

该综述首先探讨了干细胞的分子和功能特性以及干细胞自我更新、分化和旁分泌作用的内在特性,其次重点强调了神经干细胞和间充质干细胞在治疗中风、多发性硬化症、肌萎缩侧索硬化症、创伤性脑损伤、帕金森病和阿尔茨海默病等神经系统疾病中的基本原理,并重点介绍了最有可能从这些突破性疗法中获益的特定疾病。
干细胞生物学的基本概念
干细胞的核心特性与分类:干细胞是具有自我更新和多向分化潜能的特殊细胞,通过对称分裂维持自身群体,或通过不对称分裂生成功能特化细胞。
按发育阶段可分为胚胎干细胞(全能性,分化为所有细胞类型)和成体干细胞(多能或专能,参与组织修复);
按分化潜能分为全能、多能(如iPSC分化为三胚层)及专能干细胞(如神经干细胞定向分化为神经元、胶质细胞)。其命运受微环境(niche)精确调控,平衡静息与激活状态。
本综述重点介绍了神经干细胞 (NSC) 的作用,这是一种特殊类型的干细胞,可以分化成成熟的神经元、星形胶质细胞和少突胶质细胞——这些是成人大脑中的主要细胞类型。本文还讨论了颇具争议的间充质干细胞 (MSC) 转分化概念。
干细胞微环境是指干细胞所在的组织微环境,对调节其功能和分裂潜力至关重要。在神经系统疾病领域,相关的成体干细胞包括间充质干细胞 (MSC) 和神经干细胞 (NSC)(见图1)。

A)细胞在培养皿中以“球体”形式生长,放大1000倍。B)神经干细胞在“启动”后即可移植,放大400倍。C)神经干细胞分化为神经元(绿色)和星形胶质细胞(红色),放大600倍。
干细胞技术的突破与伦理挑战:另一个值得关注的领域是在特定实验条件下生成的实验室改造干细胞。诱导性多能干细胞 (iPSC) 就是一个例子,它通过对成体体细胞进行基因重编程,使其重新获得多能性胚胎干细胞 (ESC) 的诸多特性。利用iPSC有助于解决与获取胚胎细胞相关的伦理问题,尽管某些潜在并发症(例如畸胎瘤形成)仍然存在。
此外,人们对另一种实验室改造干细胞(称为转基因干细胞)的兴趣日益浓厚。这些细胞经过基因改造,可过度表达特定的生长因子,从而促进目标组织内其他细胞类型的生长。在治疗应用中,NSC也可以来自各种来源,包括ESC或iPSC,然后被导入NSC。
什么是神经发生
神经发生的基本概念与分布:神经发生是指新神经元的生成,主要发生在发育过程中,但在整个成年期都保持在较低水平。神经干细胞 (NSC) 在早期发育过程中最初位于神经管周围,之后主要位于侧脑室和第三脑室的脑室下区以及海马的颗粒下层(图2A-C)。中枢神经系统的其他区域,例如脊髓,也含有具有NSC能力的细胞(图2D)。

绿色荧光蛋白标记的侧脑室 (A)、第三脑室 (B)、海马齿状回 (C) 和脊髓 (D) 中的神经干细胞。
在发育过程中,大量的NSC会产生,并随着大脑的生长迁移到各自的目的地。虽然成人大脑中的神经发生程度较低,但新生成的神经元主要整合到现有的神经回路中。分化后,NSC能够建立新的突触连接,从而促进称为可塑性的过程。实验模型表明,成人大脑损伤后可以激活神经发生。
NSC分化潜能与旁分泌效应:在神经系统疾病中,NSC和MSC均已显示出在患者身上应用的潜在益处。NSC能够分化为施万细胞、负责髓鞘形成的少突胶质细胞和神经元。
此外,除了植入能力之外,干细胞还可以通过释放各种生长因子和细胞因子(如脑源性神经营养因子、神经生长因子等)对靶组织产生远程影响。这种现象被称为旁分泌效应。旁分泌效应在组织修复中起着至关重要的作用,并通过移植细胞分泌的外泌体介导。
它们包括刺激内源性干细胞的增殖,并通过减少促炎细胞因子和粘附分子的产生来调节炎症反应。据观察,NSC移植可以通过旁分泌效应增强血脑屏障功能。
治疗用NSC的来源与重编程技术:治疗性NSC来源包括胚胎干细胞(ESC)及诱导多能干细胞(iPSC)。iPSC通过重编程体细胞获得多能性,定向分化为NSC后可避免免疫排斥,且规避ESC的伦理争议。直接转分化技术(如成纤维细胞→NSC)跳过多能阶段,降低致瘤风险,但效率与纯度仍需优化。两类方法均需严格质控以确保细胞安全性与功能稳定性。

间充质干细胞和转分化:除神经干细胞 (NSC) 外,间充质干细胞 (MSC) 因其能够分化为各种驻留细胞并参与免疫调节,常用于神经系统疾病的动物模型。人们普遍认为,脑血管周围的周细胞和外膜细胞具有干细胞特性,可以分化为脑内其他特化细胞,包括树突状细胞。
MSCs转分化的争议与验证标准:MSCs向神经元转分化的能力存在显著争议。支持者通过形态学改变、神经元标志物(如HUC/D、突触蛋白)表达及电生理活性验证其分化;质疑者则认为此类细胞可能仅呈现“神经元样”表型,缺乏功能性突触传递。争议核心在于实验方法(如诱导方案、表观遗传调控)与功能评估标准的差异,尤其是能否满足严格的转分化判定条件(如电生理活性、长期功能整合)。
01、干细胞疗法治疗中风的应用
中风概况与治疗困境:中风是全球第三大死亡原因,分为缺血性(80%)和出血性两大类型,均导致脑组织不可逆损伤。现有疗法如溶栓药物、血管内介入等受限于狭窄的“时间窗”,主要集中于二级预防和康复,无法实现脑组织实质性再生。尽管部分风险因素可控,但神经功能恢复仍面临重大挑战,亟需突破性治疗策略。
内源性修复机制的启示:研究发现,中风后内源性神经祖细胞(NSC)在脑室下区短暂增殖,两周内数量增加约30%,并向损伤区迁移,提示其参与自然修复。这一过程虽在三至五周后衰退,却为再生医学指明方向:通过增强或模拟内源性NSC反应,可能促进神经元再生与功能重建。
在探索中风潜在疗法的过程中,干细胞疗法已获得广泛关注。大量动物研究(主要在大鼠和小鼠中进行)探讨了间充质干细胞 (MSC)、脂肪干细胞 (ADSC)、神经干细胞 (NSC) 和诱导多能干细胞 (iPSC) 的应用。全面回顾这些动物研究发现,除少数例外,MSC或NSC在大脑中动脉闭塞 (MCAO)(一种常见的中风模型)后,能够不同程度地改善神经功能。
干细胞疗法(尤其是MSCs和NSCs)对中风的潜在益处可归因于以下几种途径:
- 抗炎作用:干细胞释放可溶性因子抑制免疫反应,从而形成有利于神经修复的抗炎环境。这些因子下调促炎细胞因子(如TNF-α和IL-6)的表达,同时上调抗炎细胞因子(如IL-10)。
- 营养支持:干细胞分泌组富含神经营养因子。这些分子在支持神经元存活、增强神经突生长和促进突触可塑性方面发挥着至关重要的作用。这种支持性环境有助于促进中风后的内源性再生和功能恢复。
- 血管生成:中风后恢复不可或缺的一部分是重建血液供应。干细胞会分泌血管内皮生长因子 (VEGF) 等促进血管生成的因子。改善的血管生成可为受损区域提供营养和氧气,并为迁移细胞到达损伤部位提供途径。
- 星形胶质细胞增生调控:干细胞疗法,尤其是神经干细胞(NSC),已成功用于调控星形胶质细胞增生(即损伤后星形胶质细胞的增殖)。受控的星形胶质细胞增生可以防止神经胶质瘢痕的形成,而瘢痕是神经再生的障碍。同时,星形胶质细胞会分泌支持神经生长的因子,并重建突触连接。
- 免疫调节:干细胞疗法除了局部抗炎作用外,还能调节全身免疫反应。例如,间充质干细胞(MSC)已被证实能与各种免疫细胞(包括T细胞、B细胞和树突状细胞)相互作用,从而营造有利于神经修复的整体免疫抑制环境。
了解这些细胞机制至关重要,因为它为优化干细胞并可能将其与药物结合以增强治疗效果提供了途径。
国内外干细胞治疗中风的临床研究进展:
SB623细胞(日本/美国):已在日本获批用于创伤性脑损伤后运动障碍,针对中风的III期临床试验显示患者运动功能显著改善,FDA正在审查其适应症扩展申请。
国内4款MSCs治疗缺血性中风的IND获批,临床研究证实其可增强大脑半球间连通性,促进运动恢复。

2024年,在一项单点I期研究中,解放军总医院附属八一脑科医院等研究人员评估了NSI-566移植治疗慢性运动性中风引起的偏瘫的可行性和安全性,并确定了未来试验的最大耐受剂量。

结果表明:9例慢性中风患者接受NSI-566脑内移植后,偏瘫症状明显改善,影像学显示损伤区有新神经组织生成,24个月随访无严重不良反应。
02、干细胞治疗多发性硬化症的应用
多发性硬化症(MS)的疾病特征与治疗现状:多发性硬化症是一种慢性中枢神经系统炎症性疾病,以免疫介导的髓鞘破坏和轴突损伤为特征,临床表现为复发缓解或进行性残疾。
其发病机制与异常活化的T细胞浸润、脱髓鞘及继发性神经退行性病变相关,但确切病因尚未明确。现有疗法主要通过抑制炎症反应延缓复发,但对神经修复作用有限,尤其是原发性进展型MS缺乏有效干预手段。
近年来,干细胞疗法因兼具免疫调节和神经保护潜能备受关注,如间充质干细胞(MSCs)的抗炎特性可能重塑失衡的免疫微环境,为逆转神经损伤提供新方向。
在多发性硬化症(MS)实验模型中,例如实验性过敏性脑脊髓炎 (EAE) 模型,脑室内输注MSCs已被证实可显著增加存活轴突的数量,与对照动物相比。NSCs和MSCs均已在EAE模型中被研究作为MS的潜在治疗方法。
干细胞治疗多发性硬化症的临床研究进展
间充质干细胞治疗多发性硬化症的随机对照试验与疗效趋势:2014年,Llufriu团队开展的随机双盲II期研究评估了间充质干细胞(MSCs)治疗复发缓解型多发性硬化(MS)的潜力。9例患者中,MSCs组(n=5)在6个月及研究终点时钆增强MRI病灶数量呈下降趋势,提示潜在抗炎活性,但未达统计学显著性。安全性良好,无严重不良事件,且Th1细胞频率未显著变化,提示MSCs可能通过非直接免疫抑制途径发挥作用。
多种间充质干细胞制剂的安全性验证与初步疗效信号:2014年,Lublin等使用胎盘来源PDA-001治疗MS患者,未观察到病灶恶化;Connick等静脉输注自体骨髓MSCs在10例继发进展型MS中耐受性良好,并显示视觉通路保护迹象。
2023年,一项涉及MSCs鞘内给药的2期临床试验中,有18名非复发进展型MS患者参与,未记录到MS相关的死亡或不良事件。两名患者在一次鞘内治疗期间出现了腰腿疼痛症状,符合蛛网膜炎的诊断。

治疗后28周,19%的接受治疗的参与者的25英尺定时步行速度相对于基线提高了预先设定的25%,并且在各项次要疗效结果中也观察到了一致的疗效信号。治疗后,脑脊液中的神经保护因子增加,而炎症指标降低,这与干细胞治疗多发性硬化症(MS)的拟议作用机制相一致。
这些临床试验代表着评估干细胞疗法在多发性硬化症(MS)治疗中的安全性和潜在疗效的重要一步。然而,仍需进一步研究才能充分了解这些疗法的益处和长期效果。这些发现凸显了细胞疗法治疗多发性硬化症(MS)的临床益处总体趋势。
03、干细胞治疗肌萎缩侧索硬化症的应用
ALS的疾病特征与病理机制:肌萎缩侧索硬化症(ALS)是一种以运动神经元进行性丢失为核心的神经退行性疾病,90%为散发性,10%与遗传相关。患者因上、下运动神经元退化出现肌肉无力、痉挛、腱反射亢进及束颤,逐渐丧失自主运动能力,晚期因呼吸衰竭致死。病理表现为脊髓和大脑运动神经元选择性死亡,但致病机制复杂,涉及胶质细胞介导的毒性微环境及基因突变(如SOD1)等因素,目前尚无有效阻断疾病进展的治疗手段。
干细胞疗法治疗肌萎缩侧索硬化症的核心目标与研究进展:干细胞治疗旨在替换死亡的运动神经元或增强其存活能力。实验表明,人类胚胎干细胞(ESC)分化的脊髓运动神经元在携带SOD1突变的胶质细胞环境中易受毒性损伤,提示非神经元细胞(如星形胶质细胞)通过释放炎症因子或代谢异常加剧神经元死亡。动物模型中,移植神经干细胞(NSC)衍生的运动神经元至ALS大鼠脊髓,可短暂保护局部α运动神经元并改善功能,但对远端神经元无显著效果,突显微环境调控的重要性。
国外干细胞治疗肌萎缩侧索硬化症的临床研究
2025年4月17日,美国华盛顿州Brainstorm Cell Therapeutics公司对外宣布正在努力获得所需的监管批准,以便在美国启动3b期临床试验,测试其间充质干细胞疗法NurOwn(debamestrocel)对病情轻度的肌萎缩侧索硬化症(ALS) 患者的作用。

早期的一项3期研究(NCT03280056)在患有快速进展型ALS的成年人中测试了该疗法与安慰剂的疗效。但该试验未能达到其主要目标,即证明NurOwn能够减缓ALS进展(根据ALS功能评定量表修订版(ALFRS-R)进行评估)。
国内干细胞治疗肌萎缩侧索硬化症的临床研究进展
2025年02月19日,上海赛尔欣生物医疗科技有限公司(以下简称“赛尔欣生物”)迎来了重大喜讯:其自主研发的NP001(Treg)项目正式获得美国食品药品监督管理局(FDA)关于新药临床试验申请(IND)的受理(Application Type/Number: IND 031401.0)。
NP001项目意义非凡,不仅是全球首款采用鞘内注射的Treg细胞产品,更是全球首个针对肌萎缩侧索硬化症(渐冻症,ALS)完成中、美IND申报的细胞治疗产品。目前Treg细胞治疗全球范围内还没有上市产品,这标志着中国细胞疗法已迈入国际研发前列。
2025年1月,上海东方医院开展iPSC来源运动神经元前体细胞治疗ALS的I期试验,探索多剂量移植的安全性与神经功能保护效果。

这些发现共同凸显了细胞疗法在ALS治疗中的潜力,并鼓励该领域的持续研究。未来仍需更多研究来理解其潜在机制并优化治疗方法。
04、干细胞治疗帕金森病的应用
帕金森病(PD)的病理特征与治疗困境:帕金森病 (PD) 是一种主要影响锥体外系运动系统的退行性疾病。其特征包括震颤、僵硬和运动迟缓(动作迟缓)。PD还会导致一系列非运动症状,包括自主神经功能障碍、认知障碍和精神问题。
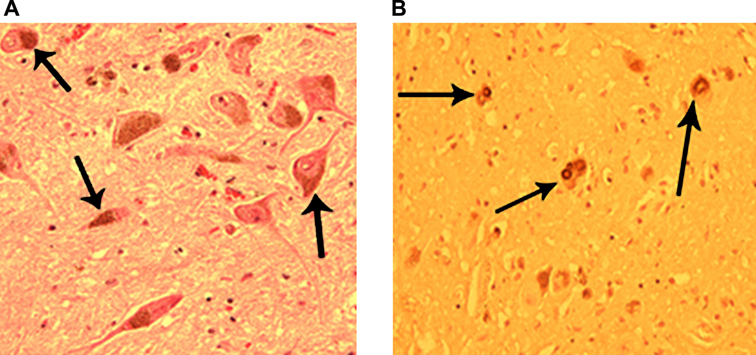
PD的神经病理学变化包括脑干和其他受影响细胞核中多巴胺能神经元的丢失,以及突触核蛋白在某些细胞的细胞质内积聚,形成包涵体,即路易体(图3)。

A)正常黑质,多巴胺能神经元密度正常(箭头)。放大400倍。B)黑质组织切片的α-突触核蛋白免疫染色显示受影响神经元中的路易氏体。请注意,与A相比,B中的黑质神经元数量减少。这些神经元的丢失是帕金森病患者运动症状的主要原因。
过去五十年来,多巴胺能疗法被广泛用于治疗帕金森病。这些疗法已显示出显著的疗效,尤其是在疾病早期。然而,由于多巴胺受体(包括纹状体外的受体)刺激改变相关的副作用,其长期应用受到限制。因此,过去三十年来,人们进行了大量的研究,探索细胞移植技术作为缓解多巴胺能细胞缺失所致症状的潜在治疗方法。
胎儿细胞移植的探索与局限性:早期研究证实,将人类胎儿中脑多巴胺能神经元移植至患者纹状体可长期改善运动功能并减少药物依赖,为细胞疗法奠定概念验证基础。然而,胎儿组织来源受限、伦理争议及异质性等问题阻碍其广泛应用,促使科研转向更可控的细胞来源,如多能干细胞(胚胎干细胞或诱导多能干细胞)定向分化的中脑多巴胺能祖细胞。
干细胞疗法的突破与前景:通过优化分化技术,多能干细胞可高效生成功能成熟的多巴胺能神经元,其纯度与稳定性显著优于传统胎儿细胞。结合,临床前研究表明,干细胞疗法已展现出替代或超越传统治疗的潜力,为帕金森病提供从症状控制转向神经再生的革命性策略。
干细胞治疗帕金森病的研究进展
国际研究进展与关键突破:国际干细胞治疗帕金森病的研究已进入临床验证阶段,多项试验证实了其安全性与潜在疗效。
日本京都大学团队利用诱导多能干细胞(iPSC)分化的多巴胺能前体细胞进行移植治疗,7名患者在24个月随访中未出现严重副作用,且运动功能评分(MDS-UPDRS)显著改善,氟-18-DOPA显像显示多巴胺合成能力提升44.7%。

美国纪念斯隆-凯特琳癌症中心则采用胚胎干细胞(hES)衍生的多巴胺能神经元(Bemdaneprocel)治疗帕金森病,在12例晚期患者中观察到壳核多巴胺摄取增加,高剂量组运动症状评分平均改善23分,且未引发移植物相关运动障碍,III期试验已获FDA批准启动。

此外,美国BlueRock Therapeutics的即用型细胞产品展现了稳定疗效,患者每日“正常状态”时间延长2.7小时,为大规模应用奠定基础。
国内创新与临床转化进展:我国在干细胞治疗帕金森病领域实现多项自主突破。
上海瑞金医院完成首例自体iPSC来源多巴胺能神经前体细胞移植手术,患者沈女士术后运动功能显著恢复,UX-DA001注射液成为全球首款中美双获批的iPSC细胞药物。
上海市东方医院联合士泽生物开展的自体iPSC疗法临床试验显示,受试者12个月后运动评分降低超20分,功能逆转效果显著。
此外,北京协和医院创新开发经鼻无创移植技术治疗帕金森病,利用嗅觉神经通路绕过血脑屏障,简化了细胞递送流程。尽管面临标准化生产与长期安全性验证等挑战,国内研究已从跟跑转向并跑,为全球帕金森病治疗提供了“中国方案”。
05、创伤性脑损伤的干细胞疗法
干细胞疗法的潜力与临床前研究挑战:干细胞疗法为创伤性脑损伤(TBI)后的神经再生与功能恢复提供了新希望,其机制包括移植细胞直接分化为神经细胞、分泌神经营养因子及调节炎症微环境。例如,静脉注射间充质干细胞(MSCs)可显著改善TBI大鼠的运动与神经功能。
然而,临床前研究与临床实践间的差异需谨慎考量:动物模型(如啮齿类受控皮质撞击或液压冲击)常模拟重度TBI,而人类TBI严重程度分类(如格拉斯哥昏迷量表)难以直接转化至动物,导致结果外推存在局限性,需平衡解读实验数据。
作用机制与内源性修复的协同效应:干细胞不仅通过替代损伤神经元发挥作用,还能激活内源性修复。神经干细胞(NSCs)可迁移至损伤部位分化为神经元与胶质细胞,但其再生能力受限于TBI后的炎症环境。
研究显示,移植的人类NSCs可调控小胶质细胞/巨噬细胞向神经保护性M2表型极化,抑制过度炎症反应,同时减少轴突损伤标志物(如淀粉样β蛋白前体)积累,并协同胶质细胞源性神经营养因子促进神经突生长。此外,干细胞分泌的细胞因子可提供营养支持,维持损伤区微环境稳态。
干细胞治疗创伤性脑损伤的临床研究进展
2017年,Cox等人开展的一项针对TBI患者的I期临床试验结果已证明干细胞移植作为一种潜在治疗方法的安全性和可行性。具体而言,Cox等人的研究表明,静脉注射自体骨髓间充质干细胞 (MSC) 不仅未出现严重不良事件,还发现保留重要脑区与炎症细胞因子的下调相关。这些发现表明,MSC疗法可能具有双重益处,对TBI的结构和功能产生影响。

2013年,Wang等人在一项II期临床试验中探索了经腰椎穿刺从脐带移植MSC的潜在益处。结果显著,显示干预六个月后 TBI 患者的运动和感觉功能以及平衡能力有所改善。与此形成鲜明对比的是,未接受治疗的对照组并未出现此类改善,这进一步巩固了MSC移植在促进TBI患者运动和感觉恢复方面的潜在作用。

虽然这些初步发现令人鼓舞,但也凸显了开展更广泛研究的必要性。更大规模的临床试验对于进一步验证这些初步结果并完善治疗方案至关重要。此外,长期随访对于评估观察到的改善的持久效果并了解其对患者预后的更广泛影响仍然至关重要。
06、干细胞疗法与阿尔茨海默病
阿尔茨海默病(AD)的病理机制与治疗瓶颈:阿尔茨海默症 (AD) 是影响老年人最常见的痴呆症。AD的神经病理学特征包括淀粉样β蛋白 (Aβ) 以斑块形式积聚,以及神经原纤维缠结中异常的tau蛋白(图4)。

图中显示了淀粉样蛋白和微管相关蛋白tau的异常积聚,如垂直和水平箭头所示。这种积聚与神经元和突触的显著减少有关。放大400倍。
除了这些特征性病理特征外,神经炎症反应部分由激活的小胶质细胞和星形胶质细胞驱动,导致神经元损伤。神经血管单元的破坏,包括血脑屏障的破坏,长期以来被认为是AD病理学的关键因素,会影响大脑中的营养输送和废物清除。这些病理变化导致突触和神经元逐渐丢失,从而造成认知和行为障碍。
氧化应激进一步加剧神经元损伤与干细胞衰老,导致再生能力衰退。现有FDA批准的药物(如aducanumab、lecanemab)虽可减少Aβ沉积,但临床疗效微弱且伴随脑水肿等风险,亟需靶向疾病进展的突破性疗法。
由于这些原因,干细胞移植已成为一种减缓AD认知能力下降的潜在治疗方法。有趣的是,在AD动物模型中的研究表明,基于干细胞的疗法通过神经保护对抗氧化应激和营养支持等机制发挥作用,而不是直接替换神经元。
干细胞治疗阿尔茨海默病的临床研究进展
Kim等人(2021)基于动物模型中移植间充质干细胞(MSC)可降低淀粉样蛋白水平并改善功能的初步研究,开展I期临床试验探索MSC用于阿尔茨海默症(AD)治疗。

研究招募9名轻至中度AD患者,提前四周手术植入Ommaya储液器以便干细胞注射,患者分为低剂量(1.0×10⁷个细胞/2mL)3人和高剂量(3.0×10⁷个细胞/2mL)6人两组,连续注射三次、间隔4周。
安全性监测显示,注射人脐带血来源MSC(hUCB-MSC)后最常见不良反应为发热(所有患者均出现),伴随头痛、恶心、呕吐等症状,36小时内消退;36个月延长观察期内,五名参与者无其他严重不良事件。研究认为,通过Ommaya储液器脑室内注射hUCB-MSC可行、相对安全且耐受性良好。
Brody等人(2023)开展以同种异体间充质干细胞产品“Lomecel-B”为核心的I期临床试验,探究其对轻度AD患者的安全性及对临床和生物标志物指标的影响。

该双盲、随机试验招募轻度AD患者,参与者分别接受低剂量、高剂量Lomecel-B或安慰剂单次输注,主要终点聚焦安全性且结果满意。次要和探索性结果显示,基于液体生物标志物、神经影像数据和神经认知评估,Lomecel-B治疗组疗效较安慰剂组显著改善。需注意的是,该研究为公司赞助,其结果需独立验证。
综上所述,在阿尔茨海默症 (AD) 患者中使用间充质干细胞 (MSC) 和神经干细胞 (NSC) 进行的 I 期临床试验已证明这些细胞疗法相对安全。正在进行的研究旨在阐明这些机制并改进AD的干细胞移植策略,从而为未来改善疗效和开发潜在的疾病改良方法带来希望。
总结与展望
治疗潜力与核心优势:干细胞疗法为永久性神经损伤疾病(如中风、帕金森病、ALS)提供了革命性治疗方向,其核心优势在于多靶点干预:通过分泌神经营养因子修复损伤、替代丢失神经元或胶质细胞、重塑炎症微环境并保护血脑屏障完整性。相较于传统药物仅能缓解症状,干细胞可激活内源性修复机制,实现神经网络的再生与功能重建,为脊髓损伤、多发性硬化等复杂疾病带来逆转病程的可能。
临床转化挑战与成本考量:尽管前景广阔,干细胞治疗仍面临多重挑战:移植细胞在病变区域的存活率与功能整合效率偏低,长期安全性(如致瘤风险)需更大样本验证;高昂的初始成本(如个性化iPSC制备)可能限制普及,但其持久疗效或可降低长期医疗支出。随着自动化培养、基因编辑及通用型细胞技术的突破,未来治疗成本有望大幅优化,推动从“天价疗法”向普惠医疗转化。
未解之谜与未来方向:核心科学问题聚焦于细胞与宿主的交互机制:这些细胞如何整合到现有的神经回路中?其长期效应和潜在风险是什么?我们如何进一步增强其疗效?解答这些问题对于优化疗法至关重要,全球各地的实验室正在进行的研究正在积极寻求答案。
同时,联合疗法(如干细胞+生物支架+光遗传调控)和新型递送技术(经鼻无创移植)的探索,将进一步提升疗效与安全性,最终实现从“实验性干预”到“临床标准化方案”的跨越。
主要参考资料:
[1]:Pappolla MA, Wu P, Fang X, et al. Stem Cell Interventions in Neurology: From Bench to Bedside. Journal of Alzheimer’s Disease. 2024;101(s1):S395-S416. doi:10.3233/JAD-230897
免责说明:本文仅用于传播科普知识,分享行业观点,不构成任何临床诊断建议!杭吉干细胞所发布的信息不能替代医生或药剂师的专业建议。如有版权等疑问,请随时联系我。
扫码添加官方微信