即时推送国内外干细胞临床医学资讯,为细胞治疗普惠大众而努力!我们的海外客户专线已为您开通。欢迎直接拨打: +852 9414 9401 我们期待为您服务。

  • 公司地址
    中国,浙江,杭州
  • 联系我们
    官方热线400-622-0089/Telegram:+86-139-6700-7000

临床结果 | 干细胞治疗年龄相关性黄斑变性:12个月后,69%患者视力提升,平均达10-12行

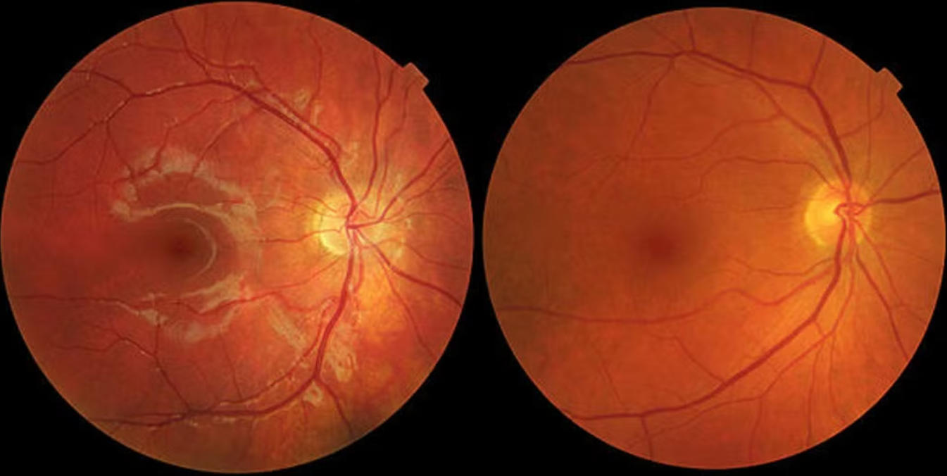
年龄相关性黄斑变性(AMD)是老年人群视力丧失的主要原因,临床表现包括称为视网膜淀积的小白色黄色斑点,这些斑点由脂质、蛋白质、脂褐素颗粒和小RNA组成。该病可分为“干性”或萎缩型,亦称为地理性萎缩,以及“湿性”或新生血管型。

年龄相关黄斑变性

据了解,干性AMD约占‌80%-90%,主要特征黄斑区视网膜色素上皮细胞(RPE)和光感受器细胞丢失;湿性AMD约占10%-20%,主要特征异常新生血管形成。这一差异主要源于前者进展缓慢,多数患者长期处于早期或中期阶段;后者虽更易致盲,但发生率较低。

2025年7月,《柳叶刀-全球健康》(The Lancet Global Health)发表的一项研究结果显示,因AMD导致的视觉障碍患者近30年增加了1倍以上,从1990年364万增加到2021年806万,预计到2050年将增加至2134万。

干细胞治疗

AMD会给患者生活带来严重影响:‌①‌功能影响‌:中心视力丧失,导致阅读、驾驶、人脸识别困难;②‌经济负担‌:晚期患者需长期护理,年医疗成本显著增加。③‌心理社会影响‌:抑郁和社交隔离风险升高。

目前湿性AMD‌可通过抗VEGF药物(如雷珠单抗)、激光及光动力等疗法治疗,‌干性AMD尚无有效治疗手段,叶黄素等补充剂曾被寄予希望,但后续研究未证实其疗效,针对线粒体老化和氧化应激的干预措施亦未获成功。

干细胞眼科治疗研究(SCOTS)是一项机构审查委员会(IRB)注册并监控的人体临床研究,该研究已在美国国立卫生研究院临床注册网站上列出(NCT编号01920867),它正被用于各种视网膜和视神经疾病的治疗,这些疾病通常没有有效方法解决视力丧失或进展。

干细胞治疗年龄相关黄斑变性

近期,《Medicines》期刊上发表了一项SCOTS,文献显示,16名AMD患者(32只眼睛)接受自体骨髓来源间充质干细胞(BMSCs)移植后12个月,69%患者报告日常生活视力提升,LogMAR平均提高27.6%(10-12行),34%视力保持稳定。

患者筛选:共纳入16名患者,32只眼睛,平均年龄78岁(范围69~90岁),术前视力范围从数手指到20/50-2,术前平均LogMAR为1.125行。

患者分组:该研究分为3组,治疗方案根据患者视力丧失程度、视力丧失病因、治疗组相关风险因素以及患者医疗风险状况进行选择。

干细胞治疗年龄相关黄斑变性

BMSCs获取与处理‌:通过标准骨髓套管针进行骨髓抽吸,然后用Arthrex cPRP和骨髓处理系统分离干细胞,不使用任何培养基或储存的细胞。

治疗方法:第一组眼球后和眼球筋膜下注射,然后静脉输注;第二组在第1组的基础上增加玻璃体内注射;第三组视力较好眼睛,接受前两组相同方式治疗,视力丧失严重的接受玻璃体切除术,接着在视网膜下或视神经内注射干细胞,然后静脉输注。

治疗后各项结果:‌

1.‌视力改善‌(32只眼睛数据,见表2):

● 63%(20只眼睛)视力得到改善(LogMAR平均改善27.6%,范围2.5%-44.6%);

● 34%视力保持稳定,仅3%视力恶化;

● 初始视力≥20/200的患者改善更为显著(如20/200→20/80)。

2.‌功能恢复‌:69%患者报告日常生活视力提升。

3.‌影像学表现‌:OCT未显示出肉眼可见的结构改变,提示疗效可能源于旁分泌机制。

干细胞治疗年龄相关黄斑变性

安全性分析:‌

1.‌不良事件‌:1例视网膜脱离(术后4个月),后重新连接,1例视力下降(疾病自然进展)。

2.‌无免疫排斥‌:自体细胞避免免疫抑制相关风险。

3.‌统计显著性‌:p≤0.001,疗效差异具有高度显著性。

总  结:该项SCOTS研究结果证实,BMSCs治疗干性AMD显示出统计学上显著的临床益处,可改善视力并可能延缓疾病引起的视力丧失(63%有效率),且安全性良好。局限性包括随访依赖本地医生、缺乏标准化视力检测工具。

未来需扩大样本量并探索BMSCs的精确作用机制(如细胞转分化与旁分泌效应占比),结合基因编辑或联合抗炎疗法可能进一步提升疗效。

参考资料:

1ArticlesVolume 13,Issue 7e1175-e1190July 2025Open accessGlobal burden of vision impairment due to age-related macular degeneration, 19902021, with forecasts to 2050: a systematic analysis for the Global Burden of Disease Study 2021.

2Jeffrey N. Weiss and Steven Levy.Stem Cell Ophthalmology Treatment Study (SCOTS):Bone Marrow-Derived Stem Cells in the Treatment of Age-Related Macular Degeneration.Medicines 2020, 7, 16; doi:10.3390/medicines7040016.

荟萃分析 | 13项研究872例数据:干细胞疗法显著改善卒中患者长期功能预后
« 上一篇 2025年9月8日
新进展 | 干细胞干预间质性膀胱炎:6个月后,67%患者病灶缩小或消失,夜尿频率显著降低
下一篇 » 2025年9月8日