概述:我们使用人同种异体骨髓来源的间充质干细胞/基质细胞在急性脑出血 (ICH) 患者群体中进行了初步的I期剂量递增、安全性和耐受性试验。结果表明,静脉注射同种异体骨髓间充质干细胞治疗急性脑出血患者是可行且安全的。
间充质干细胞治疗急性脑出血:剂量递增安全性和耐受性试验
介绍
脑出血 (ICH )是一种常见且致命的中风亚型,其特征是出血进入脑实质并可能进入脑室。ICH只占所有中风的10-15%左右,但却是最致命的亚型之一,不到50%的受影响患者在中风后存活1年。ICH也不成比例地影响黑人和亚裔美国人。
导致脑出血的原因
脑出血的主要危险因素包括吸烟、大量饮酒和高血压。神经系统恶化最初是由血肿扩张和占位效应介导的,伴随着功能性神经组织的破坏和颅内压(ICP)的增加。此外,水肿、氧化应激、伴有全身炎症的神经炎症、局部小胶质细胞激活和血脑屏障渗漏通常存在于ICH部位或周围组织中。
早期脑出血的干预策略
早期脑出血干预策略包括气管插管以保护和稳定气道以预防和可能治疗吸入性肺炎、急性血压控制、服用抗凝剂的患者的抗凝逆转、ICP治疗,以及在特定患者中,可能进行神经外科手术清除血肿或放置脑室外引流管(EVD)以实现脑脊液分流和降低ICP。

尽管有这些现有的脑出血干预策略,脑出血后的死亡率和发病率仍然很高。迄今为止,美国食品和药物管理局批准的药物和其他实验疗法的人体试验未能产生能够改善ICH结果的合适候选药物。ICH触发损伤相关的分子模式HMGB-TLR4通路炎症、NLRC4焦亡的炎症小体通路和NLRP3介导的中性粒细胞网沉着。在脑出血、蛛网膜下腔出血和许多其他人类疾病,包括2019年冠状病毒病(COVID-19)和结直肠癌中,越来越多地观察到外周血中性粒细胞-淋巴细胞比率(NLR)升高。
间充质干细胞/基质细胞(MSC)已证明在脑出血中具有多种潜在的治疗益处,包括通过旁分泌介导的细胞因子、生长因子、细胞外囊泡和抗菌肽信号传导实现再生、免疫调节和抗菌活性。MSC还表现出免疫逃避表型,并且可以从多种组织类型(例如骨髓、脂肪组织、脐带)中分离出来。从临床前动物模型和人类临床研究获得的数据已经证实,间充质干细胞在体内递送时显得相对安全,并且产生很少的不良事件(AE)。间充质干细胞的功效已在多种疾病中进行了评估,包括心力衰竭、移植物抗宿主病和克罗恩瘘病,其有效性水平各不相同。
脑出血患者可能会受益于间充质干细胞治疗,因为它有可能平衡有害的炎症级联反应,抑制免疫细胞激活,并诱导血肿部位和全身受损细胞、神经元和组织的再生。
间充质干细胞治疗急性脑出血:剂量递增安全性和耐受性试验
本研究的总体长期目标是开发用于治疗急性脑出血的间充质干细胞疗法。该试点研究的主要目的是确定对住院ICH患者在发病7天内给予同种异体间充质干细胞疗法的安全性和可行性。通过评估细胞输注的耐受性和AE的发生来评估B干细胞治疗的安全性。通过评估招募的难易程度以及与细胞制备和输注相关的技术问题来评估可行性。还确定了使用间充质干细胞治疗最近ICH的大型研究中用于未来结果评估的临床参数和生物标志物。
方法
资格标准包括非外伤性幕上血肿小于60mL和格拉斯哥昏迷评分大于5。所有患者均在神经科学重症监护病房接受监测,以了解间充质干细胞/基质细胞输注的安全性和耐受性以及不良事件。我们还探索了使用细胞因子作为生物标志物来评估对细胞疗法的反应。我们筛选了140名患者,将符合资格标准的9名患者分为三个剂量组:50万个细胞/kg、100万个细胞/kg和200万个细胞/kg。补充图1和补充表1中列出了报告试验综合标准图和详细的资格标准。


结果
患者人数
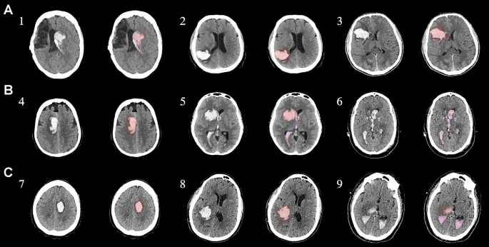
本研究纳入2018年1月1日至2020年10月31日发病168小时内发生急性ICH的患者。间充质干细胞被静脉注射给9名患者(5名女性,4名男性),平均年龄(范围)为61(36-84)岁。表1总结了人口统计学和临床特征 。出于描述目的,患者按照入组顺序获得编号,并连续分配到三组中的一组,每组三人。根据模型 2 分割,ICH体积范围为0.1至54.9mL(平均ICH体积为23.5mL)。5例ICH累及局部脑叶,其余则位于基底节或外囊深处。在三名患者中,ICH位于丘脑(图1),在一名患者中,血肿位于多个脑结构(即尾状核、壳核和苍白球)。平均而言,MSC在ICH后3天进行注射。
间充质干细胞输注的耐受性和结果
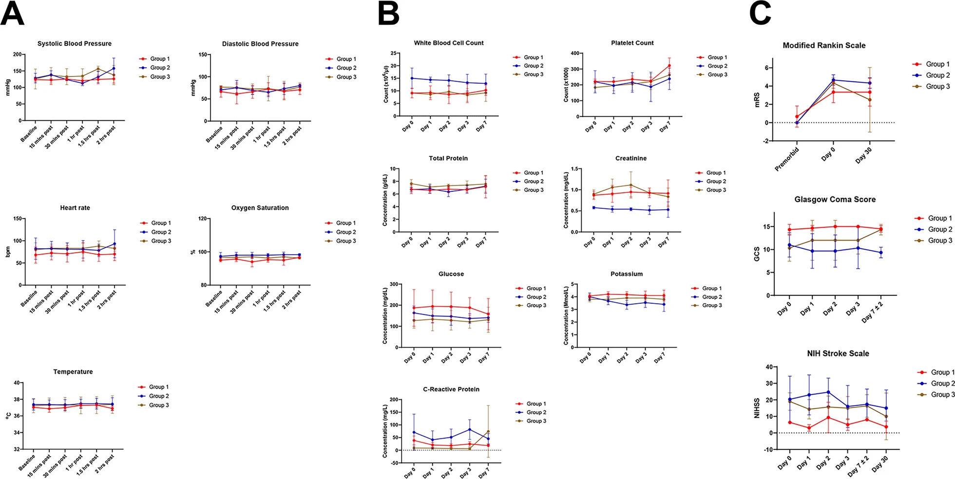
输注后患者生命体征保持稳定。与基线值相比,输注后15分钟、30分钟、1小时、1.5小时和2小时测量的收缩压、舒张压、心率、氧饱和度和体温没有显着差异(图2a)。
图2b显示了第0、1、2、3和7天测量的实验室值。白细胞计数、总蛋白、肌酐和钾均在正常生理范围内,第0天和第7天之间没有明显变化。在评估期间,葡萄糖和肌酐水平高于既定阈值,但每天变化不大。血小板计数是唯一从第0天到第7天表现出显着增加的实验室值。在第0天到第7天之间没有观察到GCS、NIHSS和mRS评分的重大变化(图2c)。

报告了15项AE,其中9名患者中有4名经历了至少1项AE(表2)。2例AE (13.3%) 为轻度,7例 (46.7%) 为中度,6例 (40.0%) 为重度。只有一名患者出现了可能与MSC输注相关的 AE。该患者发烧,服用对乙酰氨基酚后6天内消退;传染病检查无法确定来源。大多数AE (10 [66.7%]) 被确定与间充质干细胞移植无关。9号患者出院7天后死亡;然而,根据独立体检医师的判断,死亡原因与间充质干细胞输注无关。
具有临床特征的探索性成像体积模型分析
ABC/2模型1和模型2分割方法通过ICH和IVH体积的线性回归显示出良好的相关性(图3a、b)。与模型2分割体积方法(例如,每个CT15-20分钟)相比,模型1ABC/2派生的半定量方法和改进的Graeb IVH方法完成时间较短(例如,2-5分钟)。有趣的是,NIHSS评分与IVH体积M2方法的比较显示出线性相关性(R 2 = 0.7217),并且当IVH小于20mL或大于20mL时,NIHSS评分似乎出现聚类(图3c)。PHE分析显示MSC注射剂量和PHE体积之间存在轻微的负相关关系。

a,通过模型1ABC/2派生方法与vol模型 2(分割)进行的神经影像ICH vol的线性回归。b、IVH通过模型1和定量分割模型2方法对Graeb进行了修改。c,出血量和NIHSS评分与IVH量通过分割进行比较。
血浆中生物标志物的分析
在第0天和第3天分析血浆中关键细胞因子和趋化因子的存在和浓度(图4)。评估的细胞因子包括抗炎介质,例如可溶性CD40配体、白细胞介素1受体拮抗剂和白细胞介素10;促炎细胞因子,例如干扰素-γ、IL-6和白细胞介素16 (IL-16);和再生表皮生长因子 (EGF)、血小板衍生生长因子AA和血管内皮生长因子A。总体而言,抗炎细胞因子的浓度从第0天到第3天增加。抗炎细胞因子的一致反应模式未观察到促炎或再生细胞因子;然而,从第0天到第3天,促炎性IL-16减少,再生EGF增加。

讨论
我们描述了一项前瞻性、单组、剂量递增临床试验中间充质干细胞治疗急性脑出血患者的初步安全性和耐受性数据。根据我们的临床前工作,鉴于越来越多的证据表明存在中枢神经系统和全身炎症,我们假设 BM-MSC可能为具有原发性损伤和继发性脑损伤机制的脑出血患者提供多效性益处。
鉴于没有任何单一疗法被证明可以改善脑出血的结局,因此使用间充质干细胞多管齐下治疗脑出血是合理的。工作重点仍然是通过使用系统工程方法提供多管齐下、多学科的脑出血护理,从院前阶段开始,然后是院内和重症监护、院后康复护理和二级脑出血预防阶段。
我们的初步结果支持我们的假设,即静脉注射时间充质干细胞治疗通常是安全且可耐受的,总体而言,该数据似乎与其他临床前间充质干细胞数据一致。初步结果表明间充质干细胞治疗应该在更大规模、前瞻性、安慰剂对照的临床试验中进行测试。未来的I期或II期试验可以进一步验证BM-MSC安全且可耐受的假设,并且如果动力适当,可以开始评估结果的差异。
结论
我们报告了三种剂量的间充质干细胞移植治疗急性脑出血患者的初步安全性和耐受性数据。最常见的AE是发烧,可用对乙酰氨基酚治疗。有必要进行进一步的大型随机试验来检验这一假设,即间充质干细胞治疗脑出血患者是一种安全、可耐受且可能有效的疗法,可减少有害的炎症级联反应,与新的MIS神经外科干预措施结合改善结果,并可能减少脑出血周围的PHE。
参考资料:Durand, N.C., Kim, H.G., Patel, V.N. et al. Mesenchymal Stem Cell Therapy in Acute Intracerebral Hemorrhage: A Dose-Escalation Safety and Tolerability Trial. Neurocrit Care (2023). https://doi.org/10.1007/s12028-023-01897-w
免责说明:本文仅用于传播科普知识,分享行业观点,不构成任何临床诊断建议!杭吉干细胞所发布的信息不能替代医生或药剂师的专业建议。如有版权等疑问,请随时联系我。
扫码添加官方微信