在帕金森病的治疗领域,一种新的希望正被广泛讨论。当传统药物难以阻止疾病进展时,患者与家属将目光投向了干细胞疗法——它被寄予厚望,不只为了缓解症状,更为了修复那些受损的神经元,从根源上改变病程。
但这是否能成为现实?层出不穷的媒体报道与科研进展,究竟意味着真正的突破,还是过度的期待?本文将从作用原理、最新临床证据与现存挑战出发,系统剖析干细胞疗法对帕金森病的真实疗效。

干细胞疗法对帕金森病真的有效吗?基于3项最新临床证据的权威解答
一、帕金森病的本质:为什么会出现震颤、僵硬、动作变慢?
帕金森病的病理核心,是中脑“黑质”区域内多巴胺能神经元的进行性丧失。这些神经元负责分泌多巴胺——一种协调和控制身体运动的关键神经递质。随着神经元大量死亡,大脑运动控制回路因多巴胺严重不足而陷入功能紊乱,直接导致了静止性震颤、肌肉僵硬和动作迟缓等经典运动症状。
然而,疾病的影响远不止于此。抑郁、睡眠障碍、认知衰退等非运动症状同样普遍,且同样棘手。遗憾的是,现有的主流药物(如左旋多巴)仅能在早期替代多巴胺、缓解症状,既无法阻止神经元的持续死亡,也不能逆转已有的损伤。这构成了当前治疗的根本瓶颈。
二、为什么大家越来越关注干细胞治疗帕金森病?
正是源于上述“治标不治本”的治疗困境,医学界将目光投向了更具根本性的解决方案。干细胞疗法的目标直指疾病源头:它旨在替代和补充大脑中丧失的多巴胺能神经元,理论上具有修复神经回路、长期稳定病情的潜力。
这一从“症状管理”转向“神经修复”的疗法定向,与传统药物形成了根本区别。因此,尽管仍处于发展阶段,干细胞疗法已被许多研究者、医生和患者视为一项可能改变疾病进程的潜在突破,承载着超越现有疗法的深切期待。
三、干细胞疗法的原理:为何它被认为有希望?
干细胞具有两个关键能力:
- 分化成多种细胞,包括多巴胺神经元
- 分泌神经营养因子,改善神经微环境,促进修复
因此,干细胞治疗帕金森病的设想是:
- 将干细胞植入患者大脑病变区域
- 使其替代死亡的神经元,重新产生多巴胨
- 同时保护仍存活的神经细胞,延缓继续退化
如果这种方式成功,那么它不仅是改善症状,而是真正从源头修复神经系统,其意义远超过药物和DBS。
因此它被称为“最有可能改变帕金森病治疗格局的方向”。
四、最新临床研究进展:效果到底怎么样?真实数据说话
I期临床试验:干细胞移植在重度帕金森病患者中展现多维度改善
2024年7月22日,中国人民解放军联勤保障部队第921医院在国际期刊《军事医学研究》上发表了一篇关于《TGF-β1介导缺氧预处理的嗅粘膜间充质干细胞改善帕金森病模型和患者的神经功能恢复》的临床研究成果。[1]

研究展示了I期首次人体临床试验中一组患者的研究结果,该试验评估了将低氧预处理的嗅黏膜间充质干细胞(hOM-MSC)移植到重度帕金森病患者脊柱内移植的安全性和有效性。共有5名患者接受了hOM-MSCs椎管内植入,移植后进行血清和脑脊液分析,随后的随访期为1至6个月。
病例1:是一名67岁患帕金森病(PD)20年的女性。
- 接受hOM-MSCs植入后,左旋多巴口服维持剂量从1.0g/d降至0.5g/d,情绪、日常生活、运动和治疗并发症改善。
- 治疗1个月后,UPDRS总分从79分降至51分,Hoehn和Yahr评分量表从3级降至2级,Schwab和England日常活动量表从50%恢复到70%;
- 6个月随访时,UPDRS总分为69分,Hoehn和Yahr量表为2.5级,Schwab和England量表为60%,且手术耐受性良好,术后无严重不良事件。
病例2:是一名79岁患PD 10年的男性。
- 植入hOM-MSCs后,左旋多巴口服维持剂量从0.75g/d降至0.25g/d,情感、日常活动和运动功能增强。
- 治疗1个月后,UPDRS总分从89分降至61分,Hoehn和Yahr评分量表从3级提高到2级,Schwab和England日常活动量表恢复率从50%提升到70%;
- 术后6个月随访,UPDRS总分为78分,Hoehn和Yahr量表为3级,Schwab和England量表为60%,手术耐受性极好且无严重不良事件。
病例3:是一名67岁患PD 20年的男性。
- 植入hOM-MSCs后,左旋多巴口服维持剂量从1.0g/d降至0.25g/d,情绪、生活活动、运动和治疗并发症明显改善。
- 治疗1个月后,UPDRS总分从85分降至59分,Hoehn和Yahr评分量表从3级提高到2级,Schwab和England日常活动量表从50%恢复到70%;
- 术后6个月随访,UPDRS总分为80分,Hoehn和Yahr量表为3级,Schwab和England量表为50%,手术耐受性极好且无严重不良事件。
病例4:是一名71岁患PD 4年的男性。
- 植入hOM-MSCs后,左旋多巴口服维持剂量从1.5g/d降至0.25g/d,情绪、生活活动、运动和治疗并发症改善。
- 治疗1个月后,UPDRS总分从101分降至55分,Hoehn和Yahr评分量表从4级提高到2级,Schwab和England日常活动量表恢复率从30%提升到60%;
- 术后6个月随访,UPDRS总分为81分,Hoehn和Yahr量表为3级,Schwab和England量表为50%,对手术耐受性良好且无严重不良事件。
病例5:是一名62岁患PD 13年的女性。
- 植入hOM-MSCs后,左旋多巴口服维持剂量从1.5g/d降至0.5g/d,情绪、日常生活和运动测试改善。
- 治疗1个月后,UPDRS总分从75分降至53分,Hoehn和Yahr评分量表从3级提高到2级,Schwab和England日常活动量表从50%恢复到70%;
- 术后6个月随访,UPDRS总分为70分,Hoehn和Yahr量表为3级,Schwab和England量表为60%,对手术耐受性良好且无严重不良事件。
综上所述,在本次I期临床研究中,hOM-MSCs移植在5名帕金森病患者显示出高成功率的证据:患者在安全性、运动功能改善、日常生活能力提升及药物依赖降低等多个关键维度均获得实质性改善。
延世大学研究:人胚胎干细胞衍生神经元,实现精准脑内移植
2025年10月14日,延世大学Severance研究团队公布了亚洲地区首次、全球范围内第二次报道的通过移植源自人胚胎干细胞的A9型多巴胺前体细胞(A9-DPC),成功实现了对中重度帕金森病患者的精准治疗。[2]

这项单中心、开放标签的临床试验历时12个月,纳入12名病程超过5年的帕金森病患者。通过立体定向手术,将细胞精确移植至患者双侧壳核区域,其中低剂量组(315万细胞)和高剂量组(630万细胞)各6例。
研究数据显示,干细胞移植在安全性方面表现良好。整个试验中仅出现少量轻微不良反应,多与免疫抑制药物相关,无严重并发症或细胞异常增殖。影像学结果也证实,移植细胞精准分布,无异常迁移或肿瘤形成。
疗效方面,患者在术后12个月运动功能平均提升14分以上,高剂量组效果更为显著。日常活动能力、生活质量及药效持续时间均有明显改善。分子影像学进一步验证了这一变化:移植区域的多巴胺转运体活性显著增强,说明移植细胞成功整合进神经系统,部分恢复了多巴胺通路功能。
组织分析显示,移植的细胞已在宿主体内分化为成熟的多巴胺神经元,并与原有神经网络形成有效连接。这一结果标志着人源胚胎干细胞衍生细胞治疗帕金森病的安全性与可行性得到初步验证,为未来大规模临床应用奠定了基础。

该研究的最大突破,在于首次系统验证了人胚胎干细胞衍生神经元治疗帕金森病的可行性与安全性。与过去依赖胎儿组织移植不同,这一方案在伦理、来源及生产标准上都实现了突破。采用新鲜细胞移植的策略,也最大限度地保留了细胞活性。科学的剂量设计,源自前期动物实验的积累,使得疗效更具可靠性。
全球首例:从“药物依赖”到“功能性治愈”帕金森病患者的治疗过程
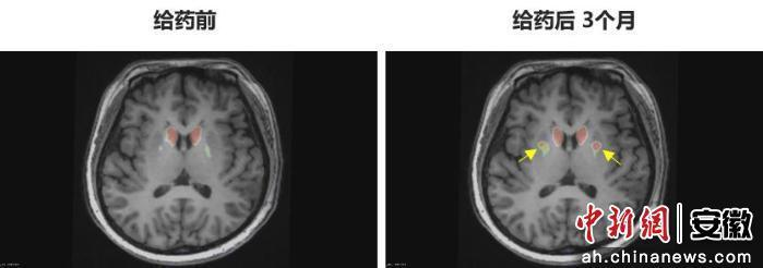
2025年10月19日,一位记者采访了全球首位被证实“功能性治愈”的帕金森病患者李女士——一位37岁的母亲,长期与帕金森病抗争。[3]
今年6月,李女士在中国科学技术大学附属第一医院接受了NCR201干细胞移植治疗,该疗法利用诱导多能干细胞(iPSC)衍生的多巴胺能神经前体细胞。三个月后,她成为全球首例“功能性治愈”的帕金森病患者。

“身体不僵硬了,像正常人一样。”李女士笑着说。多年的抖动与“关期”彻底消失,她重新感受到身体的轻盈和心灵的自由。术后影像显示,移植细胞已在脑内成功定植并发挥功能,医生称这些“亮点”是新生多巴胺能神经元的直接证据。
李女士回忆,她早在20多岁时就出现手抖、动作迟缓,却辗转多年才确诊为遗传型帕金森病。药物只能暂时缓解症状,她一度陷入抑郁。“我想过放弃,但为了孩子,我必须试。”怀着这份信念,她决定接受创新干细胞移植手术。
术后一个月,她的失眠和抑郁症状明显改善,三个月后完全摆脱药物,运动功能恢复到健康水平。如今,她重新工作、备考自学考试,还能陪孩子打羽毛球、旅行。她笑着说:“我觉得人生重新开始了,希望更多患者能尽早尝试这种治疗,越早越好。”
李女士的经历不仅见证了干细胞疗法在帕金森病中的突破,也诠释了生命的坚韧与希望。医学的进步点亮了她的大脑,而勇气与爱,让她真正重获新生。

详情请浏览:2025干细胞疗法治疗帕金森病最新临床指南(截至10月)
五、目前干细胞疗法面临的局限性与风险
综上所述,干细胞治疗帕金森病的临床结果鼓舞人心,但我们必须清醒地认识到干细胞疗法走向普及所面临的一些挑战:
细胞存活率低是首要技术难题。日本研究者指出,移植细胞中仅有一小部分最终能存活并发挥功能,低存活率是“亟待解决的大问题”。
个体差异问题日益凸显。2025年《Cell Stem Cell》上发表的一项临床前研究发现,即使是使用来自不同患者的自体干细胞制备的疗法,在动物模型中的疗效也存在显著差异。[4]
产业化障碍不容忽视。从实验室研究到规模化生产,细胞产品的质量控制、标准化和运输保存都是必须解决的现实问题。
结语:对未来的判断与态度
综上来看,干细胞疗法是否对帕金森病“有效”?答案是审慎但积极的:在严格的临床试验中,它已经展现出真实的改善潜力,也为未来的治疗方式打开了新的可能性。
可以预见,未来 3–5 年将成为干细胞治疗帕金森病加速突破的关键窗口期。对有需求的患者而言,保持关注权威医疗机构的临床研究进展,选择规范、合规的治疗路径,依然是最稳妥、最值得信赖的方向。
参考资料:
[1]Zhuo, Y., Li, WS., Lu, W. et al. TGF-β1 mediates hypoxia-preconditioned olfactory mucosa mesenchymal stem cells improved neural functional recovery in Parkinson’s disease models and patients. Military Med Res 11, 48 (2024). https://doi.org/10.1186/s40779-024-00550-7
[2]Phase 1/2a clinical trial of hESC-derived dopamine progenitors in Parkinson’s diseaseChang, Jin Woo et al.Cell, Volume 0, Issue 0
[3]https://www.xkdbio.com/qyzx/1014.html
[4]Jeon J, Cha Y, Hong YJ, Lee IH, Jang H, Ko S, Naumenko S, Kim M, Ryu HL, Shrestha Z, Lee N, Park TY, Park H, Kim SH, Yoon KJ, Song B, Schweitzer J, Herrington TM, Kong SW, Carter B, Leblanc P, Kim KS. Pre-clinical safety and efficacy of human induced pluripotent stem cell-derived products for autologous cell therapy in Parkinson’s disease. Cell Stem Cell. 2025 Mar 6;32(3):343-360.e7. doi: 10.1016/j.stem.2025.01.006. Epub 2025 Feb 13. PMID: 39952239; PMCID: PMC11980241.
免责说明:本文仅用于传播科普知识,分享行业观点,不构成任何临床诊断建议!杭吉干细胞所发布的信息不能替代医生或药剂师的专业建议。如有版权等疑问,请随时联系我。
扫码添加官方微信