在一项单点I期研究中,解放军总医院附属八一脑科医院等研究人员评估了NSI-566移植治疗慢性运动性中风引起的偏瘫的可行性和安全性,并确定了未来试验的最大耐受剂量。
- NSI-566是一种稳定的原代粘附神经干细胞系,源自单个人类胎儿脊髓,通过表观遗传扩增,无需进行基因改造。该细胞系正在美国临床试验中接受测试,用于治疗肌萎缩侧索硬化症和脊髓损伤。
解放军总医院:神经干细胞移植治疗缺血性中风,临床表明效果良好!
该项Ⅰ期研究发在国际期刊杂志《Stem Cells Translational Medicine》上,这项研究结果表明,Ⅰ期临床研究结果反响良好,显示出一种特殊的人源神经干细胞系对于偏瘫性中风(身体的一侧无力或瘫痪)后运动功能恢复的治疗潜力。
此外,在此单臂试验中,细胞移植后患者的运动功能得到改善。这表明该手术是安全的,并有可能为中风后运动障碍的患者带来益处。

什么是神经干细胞-什么是NSI-566
神经干细胞是哺乳动物胎儿发育过程中神经轴沿线神经上皮中存在的前体细胞。
本研究中使用的试验产品Neuralstem, Inc。(NSI)-566是一种稳定的原代细胞系,由源自单个人类胎儿脊髓组织的神经干细胞组成,仅通过表观遗传手段扩增,未进行基因改造。
- 简而言之,NSI-566是一种稳定的扩增人类神经干细胞系,源自单个孕周约为8周的胎儿脊髓组织。这些细胞未引入任何基因改造。在手术前一天,将临床批次的第12代细胞浓缩、即用型细胞剂量制成活细胞悬浮液,并在手术当天早上以2°C–8°C的温度运送到移植手术现场。在这种配方中,产品在制备后48小时内均可使用。
该细胞系正在美国进行临床试验,神经干细胞移植用于治疗肌萎缩侧索硬化症 (ALS;NCT01348451、NCT01730716) 和脊髓损伤 (SCI;NCT01772810;ClinicalTrials.gov标识符:NCT03296618)。




各种临床前和临床研究已证明NSI-566在逆转各种神经病因引起的瘫痪方面具有治疗潜力。
已开展了三项NSI-566同种异体移植临床研究:两项ALS研究(n= 30)和一项慢性SCI研究(n=4),共计34名参与者,迄今为止已进行了2-6年的人体安全性/疗效监测。
这些研究的结果证明,NSI-566可以在宿主实质中存活至少2.5年,即使在短暂免疫抑制的情况下,也是安全的,并且可以为神经损伤患者提供临床益处。与历史对照组相比,接受NSI-566的I期和II期ALS受试者在24个月时表现出显著的功能稳定性以及显著更好的综合功能/生存评分。
解放军总医院正式确认:神经干细胞移植治疗缺血性脑卒中(中风)效果良好!
缺血性中风导致的瘫痪是全球范围内长期神经系统残疾的主要原因,尤其是在中国和其他亚洲国家。目前尚无有效疗法可逆转中风相关瘫痪。我们已研究了移植NSI-566逆转9名稳定偏瘫中风患者瘫痪的可行性和安全性。
方法:总共计划招募9名参与者,并按1200万、2400万和7200万个细胞的三个剂量组顺序依次招募( 每组3名参与者,表1)。所有参与者均已完成12-24个月的预定随访。

人口统计与安全:入选的9名受试者中,8名的功能障碍为中度残疾,需要一些帮助但能够独立行走(MRS3级)。剩余的受试者(#107)为中度严重残疾,无法行走并且无法在没有帮助的情况下自我护理(MRS4级)。
根据Fugl-Meyer运动评分 (FMMS,总分100分) 确定的运动障碍,受试者的运动障碍分数范围为19至48分,该分数必须为55分或更低才能纳入研究。3例为左半球中风,6例为右半球中风。最长梗塞尺寸范围为17.2至86.6毫米。受试者在中风后150至743天接受了干细胞治疗(表2)。

缩写:F,女性;FMMS,Fugl-Meyer运动评分;L,左;M,男性;MRS,改良Rankin评分;NIHSS,美国国立卫生研究院卒中量表;R,右;SC,皮质下。
参与者的平均年龄为44岁(最小30岁,最大54岁),平均NIHSS评分为6.3,平均FMMS(总分100分)为32.6,平均MRS为3.1。各剂量组的基线卒中特征相似(表3)。

缩写:AE,不良事件;FMMS,Fugl-Meyer运动评分;MRS,改良Rankin评分;NIHSS,国立卫生研究院卒中量表;SAE,严重不良事件。
安全评估:干细胞治疗缺血性中风术后1、3、6、9、12和24个月安排随访,以评估安全性和探索性结果。安全性评估包括手术当天或第二天进行计算机断层扫描 (CT) 扫描以监测潜在出血,以及在预定的随访中进行体检、实验室监测和临床中风评估,以及定期进行MRI成像研究。
研究期间报告了35起不良事件 (AE)(表3)。15和45个细胞沉积物的注射时间平均为1:42和4:32(小时:分钟)。然而,剂量组中的不良事件没有明显增加(A、B和C组分别为18、2、15)。两名受试者经历了严重的不良事件。一名受试者报告了两次胆囊炎(神经干细胞移植无关)。
神经干细胞稳定脑内移植治疗缺血性中风所致瘫痪临床结果
分析了三个剂量组综合参与者的12个月 (n=9) 或24个月 (n=6) 随访数据的临床变化。在第12个月的随访中,平均FMMS(总分100)较基线提高了16.0分(p=0.0078,图1B)。

FMMS改善在第1、3、6和9个月也具有统计学意义。12个月随访时的平均MRS较基线提高了0.8分(p =0.031,图1C)。
第3和第9个月的MRS改善也具有统计学意义。12个月随访时的平均NIHSS较基线提高了3.1分,具有统计学意义(p=0.020,图1D)。这些改善在24个月随访时得到维持。
所有剂量的干细胞治疗均耐受性良好。未发生神经系统恶化或治疗相关并发症。最大测试剂量7.2×107细胞耐受性良好,且安全性问题不比两种较低细胞剂量多。
影像学检查
本研究中使用的9名受试者的影像学研究证实了观察到的临床结果。在一名受试者的术后MRI上观察到成熟出血和脑软化的证据,并沿着推测的植入针道形成充满脑脊液的腔,但与梗塞腔分开。除此之外,没有观察到急性术后并发症的后遗症。
在6个月的随访中,所有9名受试者均观察到新组织,源自脑软化梗塞腔。该腔内组织外观具有以下特征:短期活力(术后第一次MRI与基线相比的组织外观)—9例中有9例;生长(术后至少两次MRI中新组织增加)—6例中有6例;稳定(术后至少两次MRI中新组织无变化;即生长平台期,最长为24个月)—6例中有5例;无法获得24个月后的长期活力。图2显示了腔内组织生长的纵向MRI示例。9名受试者的梗塞腔内这种无关组织的存在都很明显(图3)。

图中显示了B组 (#106) 受试者在T1MRI上随时间的变化。
(A):基线时,(B) 6个月随访时,(C) 12个月随访时,(D) 24个月随访时。箭头表示梗塞腔。
可以看到两个组织团块,在基线时不存在,推测是来自植入的NSI-566,随着时间的推移,它们似乎慢慢填满了腔体。

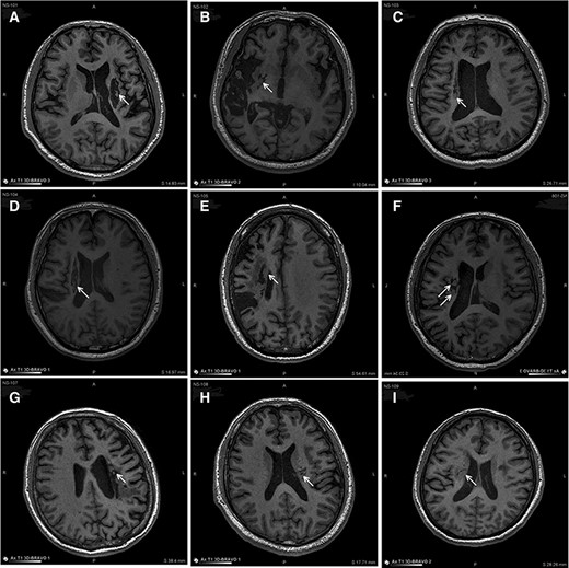
图中显示的是所有9名受试者(#101–109)在NSI-566移植后最新随访时的T1MRI图像。箭头指示梗塞腔位置。
(A):#101,24个月时,(B)#102,12个月时,(C)#103,14个月时,(D) #104,9个月时,(E)#105,14个月时,(F)#106,24个月时,(G) #107,21个月时,(H) #108,12个月时,(I) #109,14个月时。所有九个病例中梗塞腔内均有新组织生长。
总结:经磁共振成像 (MRI) 证实,始于手术前5至24个月,改良Rankin评分[MRS]为2、3或4,Fugl-Meyer运动评分为55或更低。
- 在第12个月的随访中,9位受试者的平均Fugl-Meyer运动评分 (FMMS,总分100) 显示提高了16分 ( p=0.0078),平均MRS显示提高了0.8分 ( p=0.031),平均国立卫生研究院中风量表显示提高了3.1分 ( p=0.020)。
- 对于6位受试者,在随访24个月后,这些平均变化保持稳定。所有剂量的治疗均耐受性良好。纵向MRI研究显示,所有9名患者都有证据表明新神经组织形成填充了空腔。
神经干细胞移植治疗缺血性脑中风的讨论
安全性和最大耐受剂量
NSI-566是从单个胎儿脊髓组织中分离的表观遗传扩增的原代人类神经干细胞 (hNSC) 系。据我们所知,这是首次评估将原代hNSC移植到慢性中风脑部的可行性和安全性的研究。一个目标是确定慢性中风患者梗塞周围部位的最大耐受剂量 (MTD)。
MTD由三个不同的因素决定:
- 可以制备用于可重复注射活细胞的最大细胞密度,
- 在最大细胞密度下可以安全输送的最大细胞悬浮液体积,而不会对周围组织造成过度压迫,以及
- 将细胞悬浮液沉积在战略位置的最大可行脑部穿透次数。通过三个穿透轨道将分布在45个沉积物中的7200万个细胞输送是安全的。
根据梗塞腔内新组织生成的图像数据,基于每搏输出量的进一步增加剂量可能是未来研究中需要测试的另一个变量,以优化个体患者的最大治疗剂量。
一名患者报告的两起急性胆囊炎是该研究中记录的唯一严重不良事件。
治疗效果的程度
FMMS改善10分被认为具有临床意义。从所有剂量的参与者(n =9)的平均值来看,12个月时FMMS与基线相比的变化为16分,并且保持稳定至24个月。MRS和NIHSS测量的改善进一步证实了这一结果。这一结果令人鼓舞,可以继续进行一项随机、假手术对照、双盲研究,研究队列规模更大。
目前尚不清楚大脑在受伤后多久仍能保持可塑性和重组神经肌肉通讯的能力。人们普遍认为这种能力在受伤后会随着时间推移而下降。因此,在本研究中,我们任意将慢性损伤期限制在中风后不超过24个月。八名参与者在干细胞移植前12-24个月发生中风事件,一名参与者在移植前5个月发生中风事件。
此处的观察结果表明,研究人群对hNSC治疗有反应,适合未来的hNSC试验。我们计划在未来的研究中测试中风后hNSC治疗时间、年龄和性别作为协变量。
神经干细胞移植治疗缺血性脑中风的潜在作用机制
已报道了多项临床研究,评估了将其他类型的细胞移植到与我们的研究特征相似的慢性运动性中风患者的基底神经节中的效果。一项是经过基因改造以暂时过表达Notch-1蛋白的骨髓来源细胞。另一项是来自胎儿神经组织的永生化细胞系。这些细胞的治疗作用机制尚不清楚,但被认为与抑制炎症有关。
在各种动物研究中,NSI-566的一个突出特性是其强大的体内神经发生潜力,这反映在它们发出/接收长距离投射并与宿主组织整合的能力上。
因此,NSI-566已显示出通过旁分泌因子提供神经营养支持、实现与宿主神经元的突触整合以及促进宿主神经纤维再生的能力。从ALS临床研究来看,NSI-566移植物在HLA不匹配的受体中仅产生短暂的免疫抑制,可存活很长时间。因此,预计NSI-566的这些神经营养/神经再生作用将持续很长时间。
结论
将人类脊髓神经干细胞移植到稳定中风患者的梗塞周围区域耐受性良好,并且通过三种不同的临床结果测量表明具有初步临床益处。成像研究的结果表明干细胞植入区域有新的神经组织形成。这些结果值得进行更大规模、随机、对照、双盲研究。
参考资料:Guangzhu Zhang, Ying Li, James L. Reuss, Nan Liu, Cuiying Wu, Jingpo Li, Shuangshuang Xu, Feng Wang, Thomas G. Hazel, Miles Cunningham, Hongtian Zhang, Yiwu Dai, Peng Hong, Ping Zhang, Jianghong He, Huiru Feng, Xiangdong Lu, John L. Ulmer, Karl K. Johe, Ruxiang Xu, Stable Intracerebral Transplantation of Neural Stem Cells for the Treatment of Paralysis Due to Ischemic Stroke, Stem Cells Translational Medicine, Volume 8, Issue 10, October 2019, Pages 999–1007, https://doi.org/10.1002/sctm.18-0220
免责说明:本文仅用于传播科普知识,分享行业观点,不构成任何临床诊断建议!杭吉干细胞所发布的信息不能替代医生或药剂师的专业建议。如有版权等疑问,请随时联系我。
扫码添加官方微信