原发性扭转肌张力障碍(PTD)是由基因突变引起的,并且通常逐渐进展。目前,尚无能够抑制进展的疗法。神经干细胞移植(NSC)正在被研究作为神经退行性疾病(如中风和创伤)的潜在疗法。
肌张力障碍涉及主动肌和拮抗肌同时收缩,导致不自觉的持续和重复姿势以及定向运动。原发性扭转肌张力障碍 (PTD) 的发病机制与多种基因突变有关。PTD常常导致患者严重残疾。PTD的传统疗法包括口服抗帕金森病药物、肉毒杆菌神经毒素、苍白球切开术和深部脑刺激 (DBS) 。然而,这些疗法通常无法有效预防 PTD 进展,可能会引起严重的副作用,并且成本高昂(例如DBS设备)。神经干细胞(NSC)疗法在帕金森病、小脑萎缩、中风和其他神经系统疾病领域取得了一些临床进展。这种方法的临床疗效为其抑制PTD 进展带来了希望。

神经干细胞移植治疗原发性扭转肌张力障碍:一例报告
本研究探讨了通过立体定向手术对一名原发性扭转肌张力障碍患者进行神经干细胞移植的有效性,该患者在手术后4年的随访中表现出部分神经功能恢复。据我们所知,这是首次报道神经干细胞移植用于治疗原发性扭转肌张力障碍。
方法:患者的基因检测显示扭转肌张力障碍1 (DYT1) 基因 (907-909delGAG) 存在突变。通过立体定向手术将神经干细胞植入患者双侧苍白球。
结果:术前,患者的(Burke-Fahn-Marsden)肌张力障碍运动评分(BFMDMS)为21分,术后逐渐下降,术后1、2、3、4年分别降至18、17、15、13分。术后4年,BFMDMS改善了38.1%。尽管计算机断层扫描和磁共振成像检查显示手术前后没有显着变化,但术后脑部正电子发射断层扫描显示移植区域的葡萄糖代谢增加。神经干细胞移植在该患者中的临床疗效表明其治疗原发性扭转肌张力障碍患者的潜力。
患者选择
本研究选择的患者为18岁男性,患有PTD,预产期剖宫产出生,无任何遗传病家族史,无脑炎、黄疸、脑肿瘤病史或外伤。他在5岁时首次出现左下肢不自主痉挛和扭转,没有任何诱发因素。临床特征从5岁至9岁逐渐扩展到全身。18岁时,患者无法书写、抓握、站立或行走。他吞咽固体食物有些困难,但没有癫痫症状。患者智力正常。头部计算机断层扫描(CT;图1a)和磁共振成像(MRI;图2a)提示大脑轻度萎缩。PTD是根据上述数据诊断的。

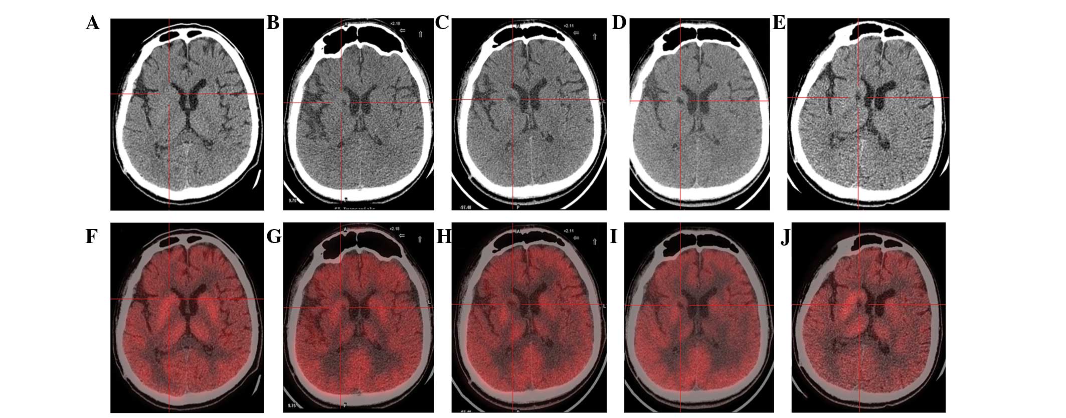
(A) 术前CT显示脑萎缩。
(BE)术后1年、2年、3年、4年CT与术前相比均无明显变化。
(F)术前18F-氟脱氧葡萄糖 (FDG) PET 扫描显示,整个大脑皮层FDG摄取弥漫性减少,细胞核FDG摄取相对高于其他区域。术前1天,豆状核和丘脑的标准化摄取值 (SUV) 平均值/最大值分别为4.3/5.8和3.3/4.5。
(GJ) 神经干细胞移植治疗后分别 1、2、3 和 4 年的 18F-FDG PET 扫描显示,双侧植入部位的豆状核和丘脑对 18F-FDG的摄取增加(红十字)与植入前相同部位进行比较。 豆状核和丘脑的SUV*平均值/最大值在 1、2、分别是术后3年和4年。 该结果表明移植后葡萄糖代谢比移植前稍高。

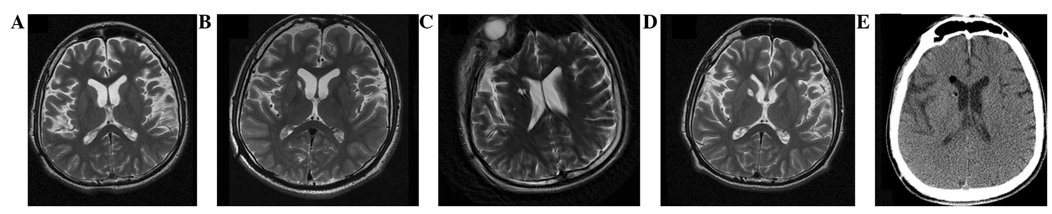
(A) 术前 MRI 显示脑萎缩。 (BD)术后1年、3年、4年MRI与术前MRI相比无明显变化。 (E) 术后3天,计算机断层扫描显示没有出血或水肿。
遗传分析、影像观察和随访
遗传分析发现患者DYT1 ( TOR1A )第五外显子存在突变 (907-909 delGAG) 。他对神经外科手术表现出良好的耐受性,并于4点出院。没有与细胞植入或外科手术相关的严重不良事件。POD时的CT扫描显示没有出血或水肿(图2e)。术后1个月,患者的PTD症状开始改善。BFMDMS逐渐增加,从术前的21分别增加到术后1、2、3和4年的18、17、15和13,术后4年改善38.1%(表1)。
BFMDMS,Burke-Fahn-Marsden 肌张力障碍运动评分。
CT(图1b-e)和MRI(图2b-d)扫描显示4年随访期间没有显着变化。 手术前1天(图1f)和手术后1、2、3和4年(图1g-j) 获得18F-FDGPET扫描。术后双侧植入部位豆状核和丘脑18F-FDG摄取值较术前增加。这一结果表明,自移植以来,葡萄糖代谢逐年略有增加。
讨论
作为遗传性原发性扭转肌张力障碍最常见和最严重的形式之一,DYT1的特点是儿童期发病的进行性肌张力障碍,通常以节段性(主要是手臂或腿部)肌张力障碍开始,随后普遍化。病理主要表现为基底节尾状核和壳核小神经细胞变性,苍白球变性,小脑齿状核细胞缺失。本研究中,患者的临床表现与DYT1表型一致,基因检测结果证实其为DYT1阳性。脑CT和MRI检查显示脑萎缩。脑部PET扫描显示,大脑皮层的葡萄糖代谢普遍下降。总之,这些发现支持上述病理退化模式。
原发性扭转肌张力障碍的传统治疗包括各种药物、脑内核损伤和DBS。尽管DBS在一定程度上是有利的,但它无法抑制PTD进展。神经干细胞研究的最新进展使得神经干细胞移植能够用于治疗原发性扭转肌张力障碍。在某些条件下,神经干细胞可以增殖、迁移并分化为特定位置的神经细胞,以替代局部受损的细胞。通过这些过程,神经干细胞修复异常的神经通路,分泌神经营养因子并保护受损的神经元。
因此,神经干细胞移植可能能够补充因衰老、损伤或疾病而损失的细胞。由于NSCs的免疫原性较低,移植后的免疫排斥反应非常轻微,为NSCs的存活提供了有利的条件。神经干细胞移植已用于治疗成人帕金森病、小脑萎缩和中风后遗症。神经干细胞在这些情况下的效用为它们用于治疗PTD提供了理论基础。研究人员动员脑室下区的内源性神经干细胞来替代黑质中的多巴胺能细胞,从而恢复纹状体多巴胺水平并改善帕金森病患者的运动症状。
总结
据我们所知,这是第一项使用神经干细胞移植治疗原发性扭转肌张力障碍患者的研究。该患者表现出脑组织恶化,术前CT和MRI扫描显示脑萎缩,PET扫描显示脑葡萄糖代谢下降。经过4年的随访,患者没有出现神经干细胞移植引起的并发症。他的BFMDMS持续下降,在手术后4年内改善了38.1%。NSC治疗后1个月内患者病情开始好转,6个月后病情稳定。移植部位葡萄糖摄取增加,表明NSCs可能在细胞更替和神经通路修复中发挥作用。
在本研究中,NSC移植是使用无框架立体定向手术技术完成的。立体定向手术是一项成熟且可靠的技术,多年来已广泛应用于神经外科临床。立体定向手术的使用确保了定位准确且创伤最小。将NSC直接移植到基底神经节附近。NSC治疗后患者没有表现出出血。
神经干细胞移植治疗原发性扭转肌张力障碍患者目前正处于早期临床探索阶段,在成为标准的临床治疗之前仍有一些问题需要解决。
- 首先,神经干细胞的致瘤性仍然是一个主要问题,一些研究已经分析了肿瘤生成的可能性。本研究中的患者在4年的随访期间没有出现任何神经系统肿瘤,但评估NSC治疗的安全性需要更长的观察时间。
- 其次,神经干细胞的免疫排斥是一个相关问题。大多数研究人员认为,由于血脑屏障的完整性和NSC的轻微免疫原性,很少发生免疫排斥反应。本研究中的患者未接受长期免疫抑制治疗,NSC移植后未出现免疫排斥反应。
DYT1阳性原发性扭转肌张力障碍患者的在神经干细胞移植4年后随访期内显示出一定的临床疗效。尽管如此,仍需要对更多患者进行治疗评估并进行更长时间的随访,以证实结果并确定神经干细胞分化的机制。
参考资料:Ren, W., Yin, F., Zhang, J., Lu, W., Liang, Y., Adlerberth, J., & Tian, Z. (2016). Neural stem cell transplantation for the treatment of primary torsion dystonia: A case report. Experimental and Therapeutic Medicine, 12, 661-666. https://doi.org/10.3892/etm.2016.3392
免责说明:本文仅用于传播科普知识,分享行业观点,不构成任何临床诊断建议!杭吉干细胞所发布的信息不能替代医生或药剂师的专业建议。如有版权等疑问,请随时联系我。
扫码添加官方微信