影响肾脏的疾病种类繁多,主要包括以下几类:
肾脏健康:影响肾脏的疾病有哪些?
慢性肾病 (CKD)

当健康问题影响到肾脏时,它们会导致慢性肾什么是慢性肾病-原因-症状有哪些?脏病 (CKD)。这是一种永久性损伤,可能会随着时间的推移而恶化。如果肾脏受损严重,无法正常工作,则称为肾衰竭或终末期肾病 (ESRD)。治疗通常是透析(由机器完成肾脏的正常工作)或移植(从捐赠者那里获得一个新的健康肾脏)。
糖尿病
这种导致肾衰竭的主要原因会损害器官的小血管和过滤器。这使得它们很难净化血液。你的身体会保留比应有的更多的盐和水,你的系统中会有更多的废物。这种疾病造成的神经损伤会使尿液回流,并通过压力或感染损害你的肾脏。

神经性厌食症
患有此病的人对身体形象不切实际,而且他们吃的量不足以保持健康体重。(他们的体重至少比正常体重低 15%)。这会导致体内缺水、电解质和盐,从而导致慢性肾病,最终导致肾衰竭。对于那些暴饮暴食并通过催吐(呕吐或使用泻药)来消耗热量的人来说,情况尤其如此。

高血压
如果流经您身体的血液压力过高,您的血管(包括肾脏中的血管)就会被拉伸、留下疤痕,甚至变得脆弱。这会阻止它们正常地排出废物,而血管中的多余液体会进一步升高您的血压,从而导致危险的循环。可以通过药物治疗以及改变饮食、运动习惯和压力水平等来治疗。

高胆固醇
如果你体内有太多的坏胆固醇,它会在输送血液进出肾脏的血管中堆积,从而影响肾脏的功能。它还会使你更容易患高血压和糖尿病。血液测试可以告诉你你的胆固醇水平是否过高。

狼疮
这是一种使免疫系统攻击身体某些部位的疾病。当它影响肾脏时,就称为狼疮性肾炎。它会导致肾脏中过滤废物的小血管发炎和结疤,有时也会影响肾脏。可以用不同的药物治疗:有些会影响免疫系统,而有些则有助于控制血压或消除肿胀和多余液体。

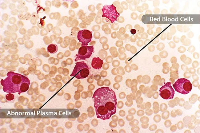
多发性骨髓瘤
这种癌症与帮助您抵抗感染的白细胞(血浆)有关。癌细胞在骨髓中积聚,在那里它们排挤健康的血细胞并产生可能导致肾脏问题的异常蛋白质。超过一半的多发性骨髓瘤患者最终也会出现肾脏问题。

溶血尿毒症综合征
当肾脏和其他器官的小血管受损时,就会发生这种情况。这最终会导致肾衰竭。这种情况发生在腹泻 5 到 10 天后,通常由感染引起,例如大肠杆菌或某些药物。如果及时治疗,大多数人都会康复。如果您腹泻数天,小便不频繁,并且非常疲倦,请去看医生。您还可能会出现瘀伤或异常出血。

ANCA血管炎
此时,您自身的抗体(通常用于抵抗细菌)会攻击肾脏和其他器官中的小血管。这可能会导致尿液中出现血液和蛋白质,并可能导致肾衰竭。您可能会发烧、身体疼痛、关节和肌肉疼痛,并出现褐色或茶色尿液。

尿路堵塞
如果你无法小便,这可能意味着尿液被倒流,这会损害你的肾脏。这会对肾脏和身体其他部位造成压力并导致感染。前列腺肥大、前列腺癌、肾结石、膀胱癌、尿路血栓和结肠癌是导致这种情况的一些原因。如果你小便次数比平时少很多或多很多,或者尿液中有血,请去看医生。

血栓
许多疾病都会导致血栓,但有一种血液疾病——血栓性血小板减少性紫癜——通常与肾脏问题有关。它会导致微小血管中形成血栓,也会影响大脑和心脏。症状包括发烧、鼻子或牙龈出血、腹泻、胸痛、精神错乱、头痛、瘀伤和感觉非常疲倦。如果不及时治疗,病情可能会很严重,所以如果你有任何这些症状,请去看医生。

硬皮病
这是一组罕见疾病,会使您的皮肤和结缔组织变硬变紧。有时它还会损害其他器官,如血管和器官。如果它影响到您的肾脏,并且肾脏无法正常工作,蛋白质就会通过尿液排出。它还会导致血压突然升高,从而导致快速肾衰竭。

多囊肾
这会导致肾脏内长出囊肿(通常充满液体的小疮)。这会使囊肿比正常大小大得多,并损害肾脏组织。这是由您从父母一方遗传的问题基因引起的。如果不及时诊断和治疗,可能会导致慢性肾病,并最终导致终末期肾病。

参考资料:
图片提供者:
- KATERYNA KON/科学来源
- AndreyPopov/盖蒂图片社
- 卡塔齐娜·比亚拉西维奇/盖蒂图片社
- zencreation/盖蒂图片社
- 克里斯托夫·伯格施泰特/盖蒂图片社
- 法国国家科研中心/科学来源
- 法国国家科研中心/科学来源
- iLexx/盖蒂图片社
- 卡罗尔沃纳/医学图像
- R.SPENCER PHIPPEN/医学图像
- SCIEPRO/科学之源
- SPL/科学来源
- PDSN/医学图像
参考:
免责说明:本文仅用于传播科普知识,分享行业观点,不构成任何临床诊断建议!杭吉干细胞所发布的信息不能替代医生或药剂师的专业建议。如有版权等疑问,请随时联系我。
- 美国肾脏病杂志:“神经性厌食症和肾脏。”
- 美国肾脏基金会:“多囊肾病”、“肾衰竭/ESRD”、“慢性肾病 (CKD)”、“肾脏疾病”。
- 梅奥诊所:“酒精滥用障碍”、“血管炎”、“多发性骨髓瘤”、“溶血性尿毒症综合征 (HUS)”、“急性肾衰竭”。
- 多发性骨髓瘤研究基金会:“肾功能下降”。
- 美国国立卫生研究院:“什么是血栓性血小板减少性紫癜?”“高血压与肾脏疾病”、“糖尿病肾脏疾病”。
- 美国国家肾脏基金会:“酒精与您的肾脏”、“狼疮与肾脏疾病(狼疮性肾炎)”、“胆固醇与慢性肾脏疾病”、“糖尿病——肾脏疾病的主要风险因素”、“肾小球肾炎”。
- 血栓性血小板减少性紫癜基金会:“TTP 概述”。
- 北卡罗来纳大学医学院:“ANCA 血管炎。”
扫码添加官方微信