急性肾损伤 (AKI) 是一种常见的临床综合征,发病率和死亡率都很高。多能干细胞的使用对治疗AKI具有很大的前景。尿源干细胞 (USC) 是细胞疗法和再生医学中一种新型且用途广泛的细胞来源,具有非侵入性、简单和低成本的优势,并且具有很高的多分化潜力。这些细胞是否可以作为治疗AKI的潜在干细胞来源尚未确定。
尿液中也有干细胞?同时还能为急性肾损伤的治疗提供新思路
近日,重庆市人民医院普通外科在期刊杂志《世界干细胞杂志》上发表了一篇“Therapeutic potential of urine-derived stem cells in renal regeneration following acute kidney injury: A comparative analysis with mesenchymal stem cells”的文章。

文章综述表明尿液干细胞 (USC) 可显著增强患有甘油诱发急性肾损伤 (AKI) 小鼠的肾功能和组织学恢复。通过将USC与骨髓间充质干细胞进行比较,该研究突出了尿液干细胞作为AKI治疗的新型非侵入性细胞来源的潜力。研究结果表明,尿液干细胞通过其多分化潜能和分泌各种细胞因子和生长因子,为AKI提供了一种有前途的治疗策略,有可能改变肾脏修复的临床方法。
什么是急性肾损伤
急性肾损伤 (AKI) 是一种复杂的综合征,其特征是肾功能迅速下降。尽管重症监护和透析方法有所改进,但心脏病和脓毒症的发病率仍在上升,导致与AKI相关的死亡率和发病率持续居高不下。这种令人担忧的趋势可以归因于人口老龄化,这带来了额外的挑战。
肾小管损伤通常被视为与AKI相关的首要病理改变。AKI患者的预后很大程度上取决于坏死肾小管上皮细胞的有效再生。

近年来,人们探索了新方法来帮助恢复肾小管上皮细胞。一种潜在的方法是利用干细胞或祖细胞,例如胚胎干细胞 (ESC)、骨髓间充质干细胞 (BMSC)、源自人羊水的干细胞 (hAFSC) 和诱导性多能干细胞 (iPSC),以恢复肾脏功能。ESC为细胞替代疗法提供了无限的储存库;然而,由于围绕胚胎使用的伦理问题,它们的使用陷入了争议。
因此,研究人员继续探索新的、侵入性较小的细胞来源以供应用。从尿液中分离出来的尿源干细胞 (USC) 具有很强的增殖能力。由于尿源干细胞具有非侵入性采集和强大分化潜力的优势,因此引起了广泛研究关注。USC已证实可用于治疗膀胱功能障碍和基于细胞的泌尿组织再生。USC具有分化潜力,可能成为治疗肾脏疾病的一种有前途的选择。
在这项研究中,我们研究了尿源干细胞是否可以作为潜在的干细胞来源,以改善无免疫能力的严重联合免疫缺陷 (SCID)小鼠中甘油注射引起的AKI的肾功能和组织结构。此外,我们的目标是评估尿源干细胞与人类BMSC相比的再生能力。
方法:从人羊水中分离具有多分化潜能的干细胞标志物。通过甘油肌肉注射诱导AKI重度联合免疫缺陷(SCID)小鼠模型。从人尿中分离的USC通过尾静脉注射。通过血尿素氮和血清肌酐水平评估肾脏的功能变化。同时,我们比较了USC与骨髓间充质干细胞(MSC)的再生潜力。
尿源干细胞治疗急性肾损伤的结果
尿源干细胞具有多向分化潜能
通过使用特定的分化培养基,成功将USC分化为骨细胞、脂肪细胞和软骨细胞。分化后的细胞表现出不同的表型特征,如图1所示。ALP染色证实了成骨分化(图1A),而油红O染色可观察到细胞内脂质囊泡,从而证实了脂肪分化(图1B)。通过阿尔新蓝染色观察到颗粒状USC中的软骨分化,证实了透明质酸和唾液酸粘蛋白的表达(图1C)。

A :第7天用碱性磷酸酶染色检测到代表性的成骨作用;
B:第21天用油红O染色细胞内脂质囊泡观察到代表性的成脂分化;
C:第28天用阿尔新蓝染色检测到代表性的软骨分化。
尿源干细胞对急性肾损伤小鼠的改善影响以及与骨髓间充质干细胞疗效的比较
如前所述,通过甘油注射诱导实验性AKI,研究了USCs对改善AKI后肾功能和组织学结构的潜在有益作用。注射甘油后,血清肌酸酐(SCr)和血尿素氮(BUN)水平升高,在72小时达到峰值,并在第18天恢复正常之前的10天内维持升高状态。AKI诱导三天后,通过尾静脉给小鼠静脉注射5×105USCs或BMSCs加入200μLPBS,而对照组动物只接受PBS。实验时间表如图2所示。动物在AKI诱导后第3、5、9和18天安乐死。

实验时间表说明了使用甘油诱导急性肾损伤的方案,以及涉及尿源干细胞或骨髓间充质干细胞的治疗方案。在时间0时,肌肉内注射甘油。第三天的箭头表示仅注射500000个细胞或载体。以下箭头表示处死受试者的指定时间点。
AKI手术后72小时内,三组小鼠的血清肌酐和BUN浓度(均提示肾功能不全)逐渐升高。与对照组小鼠相比,接受USC注射的小鼠从第5天(治疗后48小时)开始肌酐显著降低,并在整个实验期间持续降低(图3A)。此外,USC治疗早在第5天就使BUN水平恢复正常(图3B)。使用USC观察到的功能恢复与通过输注BMSC实现的功能恢复相当。这项研究的结果表明,尿源干细胞还具有保护肾脏免受急性肾损伤有害影响的额外益处。

A和B:通过测量肌酐水平(A)和血尿素氮(BUN)水平(B)来评估肾功能的变化。注射甘油后,肌酐水平从第三天开始上升。然而,在注射尿源干细胞或骨髓间充质干细胞的小鼠中,肌酐水平在注射后48小时内降至接近基线水平,并在实验期间保持稳定。
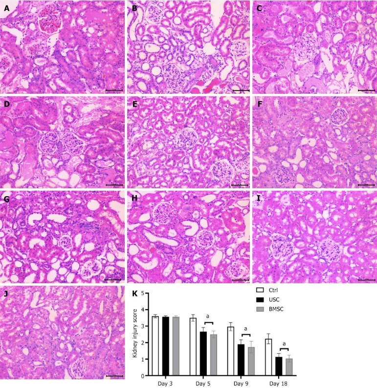
受伤后第3天,对注射甘油的SCID小鼠的肾脏进行组织学检查,发现上皮损伤以肾小管坏死和肾小管上皮细胞空泡化为特征。此外,近端肾小管细胞出现刷状缘和肾小管内蛋白管型的丢失(图4A)。与未治疗的对照组相比,施用USC或BMSC的小鼠组织损伤显著减少。在注射甘油后第5天(干细胞注射后48小时),与未治疗的对照组小鼠相比,用USC(图4B)或BMSC(图4C)治疗的小鼠组织损伤减少(图4D)。到第9天,与未治疗的动物(图4G)相比,接受USC或BMSC的小鼠肾脏结构几乎正常(图4E和F) 。到第18天,所有实验组均恢复正常组织学(图4H-J)。

为了评估注射USC的动物肾脏组织的再生反应,我们通过肾脏损伤评分量化了上述发现。该评分表明,与未接受治疗的对照小鼠相比,注射USC和BMSC的小鼠肾脏结构的损伤和恢复显著减少(图4K)。然而,USC和BMSC组之间没有显著差异。表1显示了AKI诱发后第5天的形态测量评估,比较了注射或未注射USC或BMSC的AKI小鼠的损伤情况。与未经治疗的AKI小鼠相比,注射干细胞的小鼠含有管型的小管数量明显较少,坏死的小管数量也较少。注射USC的小鼠和注射BMSC的小鼠之间没有显著差异。

a尿液来源的干细胞注射与未治疗的急性肾损伤相比,P<0.05。
b骨髓间充质干细胞注射与未治疗的急性肾损伤相比,P<0.05。
体外USC和BMSC分泌的血管生成相关蛋白
在USCs和BMSCs培养上清中检测到了20多种血管生成相关蛋白,例如双调蛋白、肝细胞生长因子、胰岛素样生长因子结合蛋白-1、转化生长因子-β等(图5A和8B)。结果显示,一些血管生成相关蛋白,包括血管生成素、胶原蛋白XVIII、EG-VEGF、血小板反应蛋白-1和uPA,在USC中的表达明显高于在BMSCs中。

A :尿液来源干细胞(USCs)分泌血管生成生长因子的结果;
B:骨髓间充质干细胞(BMSCs)分泌血管生成生长因子的结果;
C:使用Student’s t检验对USCs和BMSCs的分泌水平进行统计分析:aP<0. 05,尿液来源干细胞vs骨髓间充质干细胞。
讨论
本研究证实,尿液来源干细胞治疗能够改善严重联合免疫缺陷小鼠急性肾损伤恢复期的肾脏功能和组织结构。与对照组相比,尿液来源干细胞治疗组的血清肌酐 (SCr) 和血尿素氮 (BUN)水平明显降低,Paller肾小管损伤评分降低,活跃分裂细胞数量增加,凋亡细胞数量减少。在我们进一步的研究中,一些抗炎因子的表达水平显著上调,纤维化因子的表达水平与对照组相比显著降低。
很多研究者试图探究间充质干细胞移植治疗急性肾损伤的机制,可能的机制主要集中在两个方面:
- 第一,外源性的MSCs归巢到肾脏损伤部位,增殖并转分化为肾小管等细胞。在一些研究中,研究者发现很多移植细胞被植入到受损组织中。
- 第二,外源性BMSCs分泌的细胞因子在减轻炎症、促进肾脏损伤修复中起着至关重要的作用。在众多的细胞因子中,炎性细胞因子的产生被认为是AKI发生和发展的关键因素。MSCs的作用主要通过复杂的旁分泌作用介导,包括有益因子的分泌和信号蛋白的激活。
干细胞的旁分泌/内分泌作用得到以下证据的支持:先前的一项研究阐明了脂肪来源的干细胞治疗在损伤后早期和晚期改善功能参数和减弱肾脏纤维化进展的潜力。
结论
总之,本研究显示,尿液来源干细胞改善了急性肾损伤恢复过程中的肾功能和组织结构。尿液来源干细胞的治疗效果主要归因于其抗凋亡和促有丝分裂特性,以及其对细胞因子产生的影响。使用尿液来源干细胞治疗I/R损伤所取得的积极成果强烈表明,它们有可能成为治疗肾脏疾病的一种非常合适的干细胞选择。
参考资料:Li F, Zhao B, Zhang L, Chen GQ, Zhu L, Feng XL, Gong MJ, Hu CC, Zhang YY, Li M, Liu YQ. Therapeutic potential of urine-derived stem cells in renal regeneration following acute kidney injury: A comparative analysis with mesenchymal stem cells. World J Stem Cells 2024; 16(5): 525-537
URL: https://www.wjgnet.com/1948-0210/full/v16/i5/525.htm
DOI: https://dx.doi.org/10.4252/wjsc.v16.i5.525
免责说明:本文仅用于传播科普知识,分享行业观点,不构成任何临床诊断建议!杭吉干细胞所发布的信息不能替代医生或药剂师的专业建议。如有版权等疑问,请随时联系我。
扫码添加官方微信